循環器内科のご紹介 末梢動脈 カテーテル治療について
ここから本文です。
更新日:2017年4月6日
・下肢動脈
・腎動脈
末梢動脈疾患・閉塞性動脈硬化症に対しても心臓と同様にカテーテルによる治療が可能です。必要があれば狭窄部にステントと呼ばれる金網の筒を留置して血流を増加させ、症状の改善を得ることができます。
動脈は全身に張り巡らされているため、動脈硬化による末梢動脈疾患はどの臓器、部位でも生じる可能性があります。その中でも特に大事な部位として足(下肢動脈)・腎臓(腎動脈)・腕(鎖骨下動脈)が主な治療対象部位となります。
下肢へいく動脈は、おへその辺りで左右に分かれ、骨盤内(腸骨動脈)⇒大腿部(浅大腿動脈)⇒膝~ふくらはぎ・足首(膝下動脈~前後脛骨・腓骨動脈)と枝分かれしながら、足の指先まで栄養を送ります。下肢動脈に狭窄があると、歩行で下肢の痛みが出現し休んでいると軽快する(間欠性跛行といいます)といった症状が起こります。閉塞部や狭窄部に対するカテーテル治療により血流が再開し症状の改善が得られます。
治療は局所麻酔下に行い、入院期間は3泊4日程度です。

図の説明
左 ピンクの点線部の血管(浅大腿動脈)が閉塞しています。
右 ステントを留置して血流が改善しました。
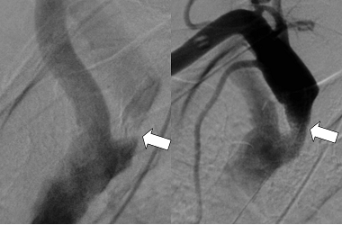
腎動脈狭窄は、複数の降圧剤を服用しているにもかかわらずコントロールできない高血圧や心不全(息切れ、下肢むくみ)、腎不全の原因の一つとして知られています。ほとんどの方は症状がありません。3剤以上の血圧の薬を内服しているのに血圧が低下しない方はご相談ください。狭窄部にステントと呼ばれる金網を留置することで良好な結果が得られます。
局所麻酔下の治療で、入院期間は3泊4日程度です。

図の説明
左 矢印の部分の血管が狭窄しています。ピンクの点線部内の血流ははっきりしません。
右 ステントを留置して血流が改善しました(矢印)。ピンクの点線部内の血流が良く分かります。
鎖骨下動脈(鎖骨の下を通って腕へいく動脈)が狭窄すると、腕を使った時にだるくなることがあります。また、狭窄がある側の腕を使うとめまいやふらつきを訴える人もいます(鎖骨下動脈盗血症候群)。偶然、血圧の左右差によって気付くこともあります。閉塞部や狭窄部に対するカテーテル治療により血流が再開し症状の改善が得られます。
局所麻酔下の治療で、入院期間は3泊4日程度です。

図の説明
左 矢印の部分の血管が狭窄しています。
右 ステントを留置して血流が改善しました(矢印)。
・首の血管(頚動脈)に対するカテーテル治療は当科では施行しておりません。
より良いウェブサイトにするためにみなさまのご意見をお聞かせください